Vous êtes ici : Maison » Actualités

Foret canulé

Celles-ci sont liées à l’ actualité des forets canulés , dans laquelle vous pouvez en savoir plus sur les informations mises à jour dans Forets canulés , pour vous aider à mieux comprendre et développer le marché des forets canulés . Parce que le marché des forets canulés évolue et change, nous vous recommandons donc de consulter notre site Web, et nous vous présenterons régulièrement les dernières nouvelles.
  • Vétérinaire portatif à rayons X

    2025-06-19

    Origines et développement technologiquesLa capacité de scruter l’intérieur d’un corps vivant a transformé la médecine humaine, et la pratique vétérinaire ne fait pas exception. Alors que les systèmes à rayons X fixes traditionnels sont devenus incontournables dans les cliniques, le besoin d'imagerie d'animaux de grande taille, immobiles ou en détresse là où ils se trouvent a conduit à un développement croissant. En savoir plus
  • L’ère de la médecine de précision en chirurgie maxillo-faciale mini-invasive

    2025-03-28

    La collision des techniques mini-invasives avec la chirurgie maxillo-facialeLa chirurgie dite mini-invasive fait référence au mode chirurgical avancé dans lequel un système d'imagerie photoélectrique moderne, un dispositif microchirurgical et un équipement de génération d'énergie remplacent l'opération ouverte traditionnelle par l'endoscop. En savoir plus
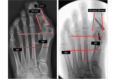
  • Chirurgie mini-invasive de l'hallux valgus

    2025-03-21

    L'hallux valgus est une déformation osseuse à la base du gros orteil, caractérisée par une déviation latérale de l'orteil et une saillie douloureuse de l'articulation métatarsophalangienne (MTP). Bien que des traitements non chirurgicaux comme des orthèses ou des modifications de chaussures puissent atténuer les symptômes, la chirurgie est souvent recommandée pour En savoir plus
  • Scie médicale : un outil incontournable dans le domaine médical

    2025-02-14

    Dans le domaine médical moderne, il existe de nombreux outils apparemment discrets mais vitaux, et les scies médicales en font partie. En tant qu'outil de coupe spécifiquement utilisé en chirurgie médicale, les scies médicales jouent un rôle irremplaçable en chirurgie orthopédique, en réparation de traumatismes, etc. Il existe de nombreux types de scies médicales. En savoir plus
  • Explorer la scie-perceuse main-pied : une innovation unique dans les outils manuels

    2025-01-02

    La scie perceuse main-pied est un outil manuel unique qui intègre les fonctions de commande au pied et manuelle. Cet outil allie tradition et innovation pour fournir une solution pour les tâches de perçage et de découpe sans électricité, particulièrement adaptée aux environnements ou scénarios aux ressources limitées. En savoir plus
  • Application et caractéristiques des alésoirs flexibles

    2024-11-27

    L'alésoir flexible est un dispositif médical flexible, généralement en acier inoxydable, en titane ou en alliage nickel-titane. Ses caractéristiques de conception comprennent une tige flexible et une lame remplaçable, adaptées pour répondre aux besoins d'alésage de la cavité médullaire de structures anatomiques complexes ou incurvées. Fonction En savoir plus
  • Alésoir flexible orthopédique

    2024-10-25

    Un alésoir flexible orthopédique est un instrument chirurgical couramment utilisé lors d'interventions impliquant les os longs, telles que l'enclouage centromédullaire. Cet outil aide à la préparation du canal osseux en l'agrandissant ou en le remodelant pour s'adapter à un implant comme un clou intramédullaire. Les principales fonctionnalités comprennent : 1. En savoir plus
  • Scie-perceuse de type micro : applications et avantages des outils de coupe de précision

    2024-10-18

    La scie-perceuse de type micro est un petit outil utilisé pour la coupe et le perçage de précision et est largement utilisée dans les appareils électroniques, la fabrication de bijoux, la dentisterie et le micro-usinage. Il peut fonctionner dans des espaces restreints et des emplacements précis et présente des avantages significatifs dans les aspects suivants : 1. C de haute précision En savoir plus
  • Caractéristiques de la perceuse de neurochirurgie

    2024-09-20

    La perceuse de neurochirurgie nécessite une opération très précise et méticuleuse pour garantir la sécurité du patient et le succès de l'opération. En tant qu'outil important pour la chirurgie intracrânienne, la conception et les caractéristiques du foret de neurochirurgie affectent directement les résultats chirurgicaux. 1. Neurochirurgie de conception de haute précision En savoir plus
  • Total 2 pages Aller à la page
  • Aller

LIENS RAPIDES

CONTACTEZ-NOUS

  manager@bojin-medical.com
  Étage 6 , No.1313, Jiangchang Road, district de Jingan, Shanghai, Chine

RECHERCHER UN PRODUIT

Laisser un message
Contactez-nous
@ COPYRIGHT 2023, TOUS DROITS RÉSERVÉS Shanghai Bojin Medical Instrument Co., Ltd inuox