Vous êtes ici: Maison » Actualités

Foret canulé double fonction

Celles-ci sont liées aux actualités sur les forets canulés à double fonction , dans lesquelles vous pouvez en savoir plus sur les informations mises à jour dans Forets canulés à double fonction , pour vous aider à mieux comprendre et développer le marché des forets canulés à double fonction . Parce que le marché des forets canulés à double fonction évolue et change, nous vous recommandons donc de consulter notre site Web et nous vous montrerons régulièrement les dernières nouvelles.
  • Outils de guidage pour la correction de l'hallux valgus

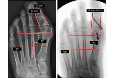
    2025-08-27

    L'hallux valgus, communément appelé oignon, est une déformation répandue du pied dans laquelle le gros orteil dévie vers les autres orteils, provoquant souvent des douleurs, un inconfort et des difficultés à marcher. Pour les personnes souffrant de cas graves, la correction chirurgicale devient une option viable. Ces dernières années, l'avènement du hal En savoir plus
  • L’ère de la médecine de précision en chirurgie maxillo-faciale mini-invasive

    2025-03-28

    La collision des techniques mini-invasives avec la chirurgie maxillo-facialeLa chirurgie dite mini-invasive fait référence au mode chirurgical avancé dans lequel un système d'imagerie photoélectrique moderne, un dispositif microchirurgical et un équipement de génération d'énergie remplacent l'opération ouverte traditionnelle par l'endoscop. En savoir plus
  • Chirurgie mini-invasive de l'hallux valgus

    2025-03-21

    L'hallux valgus est une déformation osseuse à la base du gros orteil, caractérisée par une déviation latérale de l'orteil et une saillie douloureuse de l'articulation métatarsophalangienne (MTP). Bien que des traitements non chirurgicaux comme des orthèses ou des modifications de chaussures puissent atténuer les symptômes, la chirurgie est souvent recommandée pour En savoir plus
  • Instruments chirurgicaux orthopédiques vétérinaires essentiels : outils de précision et de soins

    2024-12-04

    La chirurgie orthopédique en médecine vétérinaire traite des affections impliquant les os, les articulations et les structures associées chez les animaux. Ces procédures nécessitent des instruments hautement spécialisés pour garantir précision et efficacité. Voici quelques instruments chirurgicaux orthopédiques vétérinaires courants et leurs utilisations : 1. Bo En savoir plus
  • Avantages des forets chirurgicaux orthopédiques modernes

    2024-11-12

    En chirurgie orthopédique moderne, la précision et l’efficacité sont les clés du succès. En tant qu'élément important des outils chirurgicaux, l'application de forets chirurgicaux dans la réparation des fractures, les arthroplasties et la chirurgie de la colonne vertébrale a considérablement amélioré le taux de réussite de la chirurgie et la rapidité de récupération du patient. 1.P En savoir plus
  • Scies alternatives : le guide ultime des outils de coupe polyvalents

    2024-10-30

    Une scie alternative est un outil électrique qui utilise le mouvement alternatif (d’avant en arrière) d’une lame de scie pour couper une variété de matériaux. La lame est montée dans le support de lame de la scie et le moteur entraîne un mécanisme de liaison qui amène la lame à effectuer un mouvement alternatif rapide pour réaliser la coupe. Réciprocatine En savoir plus
  • Alésoir flexible orthopédique

    2024-10-25

    Un alésoir flexible orthopédique est un instrument chirurgical couramment utilisé lors d'interventions impliquant les os longs, telles que l'enclouage centromédullaire. Cet outil aide à la préparation du canal osseux en l'agrandissant ou en le remodelant pour s'adapter à un implant comme un clou intramédullaire. Les principales fonctionnalités comprennent : 1. En savoir plus
  • Scie-perceuse de type micro : applications et avantages des outils de coupe de précision

    2024-10-18

    La scie-perceuse de type micro est un petit outil utilisé pour la coupe et le perçage de précision et est largement utilisée dans les appareils électroniques, la fabrication de bijoux, la dentisterie et le micro-usinage. Il peut fonctionner dans des espaces restreints et des emplacements précis et présente des avantages significatifs dans les aspects suivants : 1. C de haute précision En savoir plus
  • Scie chirurgicale : un outil important pour la chirurgie moderne

    2024-10-10

    La scie chirurgicale est un outil spécialement conçu pour les opérations chirurgicales, principalement utilisé pour couper les os et les tissus durs. Avec le développement de la technologie médicale, les scies chirurgicales ont également connu de nombreuses évolutions, ce qui améliore non seulement l'efficacité et la sécurité de la chirurgie, mais améliore également le confort du patient. En savoir plus
  • Total 2 pages Aller à la page
  • Aller

Liens rapides

CONTACTEZ-NOUS

  Manager@bojin-medical.com
  étage 6 , n ° 1313, Jiangchang Road, Jingan District, Shanghai, Chine

Rechercher le produit

Laisser un message
Contactez-nous
@ Copyright 2023, Tous droits réservés Shanghai Bojin Medical Instrument Co., Ltd Support par inuox