You are here: Home » News

Cranial drill

These are related to the Cranial drill news, in which you can learn about the updated information in Cranial drill, to help you better understand and expand Cranial drill market. Because the market for Cranial drill is evolving and changing, so we recommend that you collect our website, and we will show you the latest news on a regular basis.
  • Hallux Valgus Correction Guiding Tools

    2025-08-27

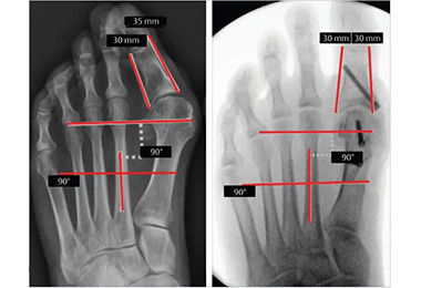
    Hallux valgus, commonly known as bunions, is a prevalent foot deformity where the big toe deviates towards the other toes, often causing pain, discomfort, and difficulty in walking. For those suffering from severe cases, surgical correction becomes a viable option. In recent years, the advent of hal Read More
  • Minimally invasive hallux valgus surgery

    2025-03-21

    Hallux valgus is a bony deformity at the base of the big toe, characterized by a lateral deviation of the toe and a painful protrusion of the metatarsophalangeal (MTP) joint. While non surgical treatments like orthotics or footwear modifications may alleviate symptoms, surgery is often recommended f Read More
  • What is Oscillating Surgical Saw

    2025-01-07

    The oscillating surgical saw is a vital instrument in modern surgical practices, renowned for its precision and efficiency in cutting through hard tissues such as bone. This article delves into the design, function, and applications of this essential medical device, highlighting its importance in bo Read More
  • Application and Features of Flexible Reamers

    2024-11-27

    Flexible reamer is a flexible medical device, usually made of stainless steel, titanium or nickel-titanium alloy. Its design features include flexible shaft and replaceable blade, which is suitable for handling the needs of medullary cavity reaming of complex or curved anatomical structures. Functio Read More
  • Explore Cannulated Drill Bits

    2024-11-19

    Cannulated Drill Bits are precision tools widely used in orthopedics and surgery, mainly for bone fixation, implant installation, and assisting precise positioning in complex surgeries. Their unique design and functionality make them irreplaceable in the medical field.Cannulated Drill Bits are usual Read More
  • Advantages of modern orthopedic surgical drills

    2024-11-12

    In modern orthopedic surgery, precision and efficiency are the keys to success. As an important part of surgical tools, the application of surgical drills in fracture repair, joint replacement and spinal surgery has greatly improved the success rate of surgery and the speed of patient recovery. 1. P Read More
  • Reciprocating Saws: The Ultimate Guide to Versatile Cutting Tools

    2024-10-30

    A reciprocating saw is a power tool that uses the reciprocating motion (back and forth) of a saw blade to cut a variety of materials. The blade is mounted in the saw's blade holder, and the motor drives a linkage mechanism that causes the blade to rapidly reciprocate to achieve the cut. Reciprocatin Read More
  • Surgical saw: an important tool for modern surgery

    2024-10-10

    Surgical saw is a tool specially designed for surgical operations, mainly used for cutting bones and hard tissues. With the development of medical technology, surgical saws have also undergone many evolutions, which not only improves the efficiency and safety of surgery, but also improves the patien Read More
  • Features of neurosurgery drill

    2024-09-20

    Neurosurgery drill requires highly precise and meticulous operation to ensure patient safety and the success of the operation. As an important tool for intracranial surgery, the design and characteristics of neurosurgery drill directly affect the surgical results. 1. High-precision design Neurosurge Read More
  • Total 2 pages  Go to Page
  • Go

QUICK LINKS

CONTACT US

  manager@bojin-medical.com
  Floor 6,No.1313, Jiangchang Road, Jingan district, Shanghai, China

SEARCH PRODUCT

Leave a Message
Contact us
@ COPYRIGHT 2023, ALL RIGHTS RESERVED Shanghai Bojin Medical Instrument Co.,Ltd Support By inuox